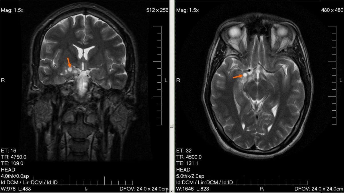
MRI_glioma_28_yr_old_male Publié 19 Mai 2014 à 1523 × 854 dans Cancer et téléphone portable : Les statistiques du doute